|
肺部為常見惡性腫瘤轉移的器官之一,發生時被認定為癌症第四期,其治療方式必須遵照原發處癌症的治療方式為原則,包括手術切除、化學治療、標靶治療、免疫治療及細胞治療等。治療肺部轉移病灶前中後都有可能須藉由外科手術切除來得到治療上的利益,其情況包括:
1.確定診斷:並不是所有患有癌症之病患合併肺部結節全都是轉移性,也有可能是其他疾病,如結核菌感染、黴菌感染、細菌感染、良性腫瘤甚至原發性肺惡性腫瘤(肺癌)等,應根據病史、影像學及其他實驗室數據綜合判斷其轉移性病變之可能性,必要時須做手術切除或其他切片檢查來做進一步確診。(案例一)
2.取得檢體做進一步分子生物學分析:因近代醫學已進入分子生物時代,很多抗腫瘤治療必須了解其特定分子之變化來使用其對應的藥物來治療癌症(包括標靶治療及免疫治療等),故部分情況須利用手術切除來取得檢體做進一步分析,以利後續治療計畫。(案例二)
3.症狀緩解:部分因肺部轉移造成嚴重的症狀,包括反覆咳血、反覆感染、無法控制的疼痛甚至呼吸道阻塞合併呼吸困難等,手術治療可以解決上述情況,改善病患生活品質。(案例三)
4.輔助性治療:近來研究發現肺部轉移處切除可當作輔助治療,其手術治療介入時機極為重要,必須要與癌症團隊共同討論。(案例二)
因肺部切除之後大部分情況會影響肺部功能,除了術前必須與外科醫師充分的溝通,了解手術目的之外,還必須要做完整的心肺功能檢查,才能安排進一步手術治療方式。

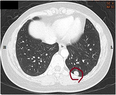
案例一、
70歲女性7年前接受大腸癌手術,術後沒有接受任何輔助性治療,癌症指數也沒有上升,追蹤時發現左下肺結節,經手術切除確診為第一期肺腺癌,並非大腸癌合併肺部轉移。

案例二、
34歲女性患有乳癌合併肺部轉移,經治療後發現大部分肺部結節消失不見唯獨左下肺結節並沒有變化,術後證明仍然是乳癌合併肺部轉移,而且其分子生物學特性與當初診斷時的乳癌有不一樣的地方,經過調整治療後病患仍存活至今,目前無證據復發。

案例三、
36歲女性直腸癌合併支氣管及肺部轉移,因腫瘤讓呼吸道阻塞,造成嚴重呼吸困難,經過支氣管鏡腫瘤燒灼術後症狀達到緩解,並積極接受抗腫瘤治療,包括手術切除、標靶治療、化學治療及放射線治療等,腫瘤已達到控制,之後病患也接受肺部轉移處切除手術當作輔助治療,目前病情穩定,並無復發跡象。
﹝門診時段﹞
| 時段 |
一 |
二 |
三 |
四 |
五 |
六 |
| 上午 |
●高醫 |
|
|
|
|
●高醫 |
| 下午 |
|
|
|
|
|
|
| 夜診 |
|
|
|
|
|
|
|