| 
			依照衛生福利部公布2023年惡性腫瘤(癌症)為國人十大死因之首,而肺癌為十大癌症死亡率第一名。美國國家綜合癌症網絡(National 
			Comprehensive Cancer Network, NCCN)大型研究顯示以低劑量電腦斷層(Low Dose Computed 
			Tomography, 
			LDCT)來篩檢肺癌,有助於肺癌高危險群的患者降低20%肺癌的死亡率。為降低肺癌對國人的健康威脅,國民健康署自111年7月1日起,補助肺癌高風險族群每2年1次免費LDCT檢查服務,臺灣成為世界第一個針對具肺癌家族史及重度吸菸者提供肺癌篩檢的國家。截至113年12月31日止,全國已有158,937位民眾接受檢查,並找出1,957名確診肺癌個案,其中早期(0及1期)個案占了83% 
			(1,621人),顯示LDCT檢查確實有助於早期發現肺癌,提升肺癌存活率。自114年1月1日起國民健康署擴大辦理LDCT肺癌檢查服務,將更多的民眾納入範圍內,以提升篩檢覆蓋率,期待能更早篩檢出肺癌,提升癌症治療成效,增加存活率,並降低死亡率。 
			篩檢擴大後對象包含: 
			1.具肺癌家族史:45至74歲男性或40至74歲女性,且其有血緣關係之父母、子女或兄弟姊妹經診斷為肺癌的民眾。 
			2.重度吸菸者:50至74歲吸菸史達20包-年以上,仍在吸菸或戒菸未達15年之重度吸菸者。 
			由於電腦斷層可以偵測到很小的病灶,因此美國放射醫學會(American College of Radiology, 
			ACR)建議將篩檢的病灶依肺癌的可能性成5級(Lung-RADS 2022, Category): 
			0.影像不足以診斷,或可能為發炎或感染; 
			1.陰性(negative);  
			2.良性(benign)結節; 
			3.可能良性(probably benign)結節;  
			4.4A可疑 (suspicious),4B/4X 高度可疑 (very suspicious)肺癌。 
			接受肺癌篩檢且結果無顯著異常(category1, 2) 的民眾可以定期再次接受篩檢;若篩檢結果顯示疑似異常 (category 3, 
			4),也請不要擔心,依照醫師建議進行持續追蹤觀察或進一步檢查。如果不幸確診為肺癌,應遵循醫囑,積極配合治療計畫,避免延誤病情。早期發現、早期治療,健康才更有保障! 
			 
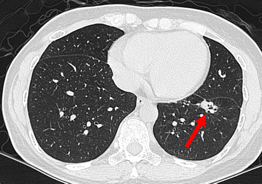
			53歲女性健康檢查,肺部低劑量電腦斷層(LDCT)發現2公分高度可疑肺癌的結節(4B/(4X)(箭號))。手術後証實罹患肺腺癌。  
			  
			※本文章同意非營利行為之轉載,轉載時不得編輯、調整、增刪、加註、改寫或以其他方式變更本文章內容,並註明供稿來源。 
			  
		  |