|
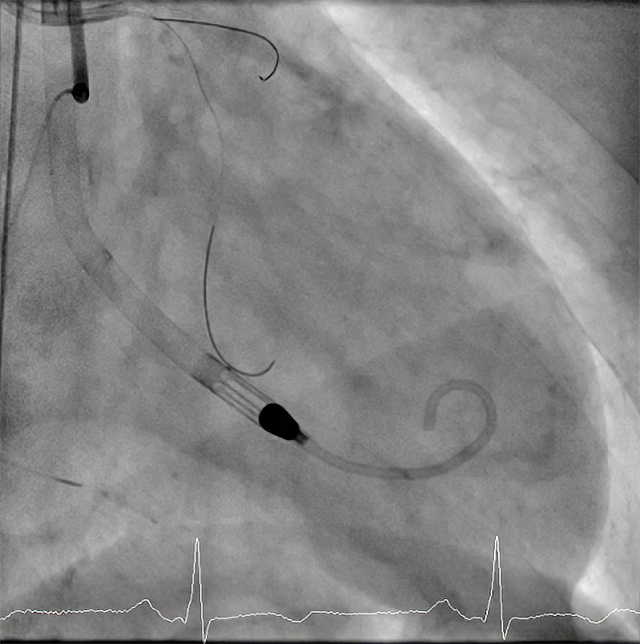
60歲傅先生(化名),日前因胸部悶痛來到高醫岡山醫院住院,經心導管診斷為左主幹冠狀動脈嚴重狹窄,合併三條冠狀動脈血管同樣嚴重病變並合併慢性全阻塞,心臟超音波顯示嚴重心臟衰竭,左心室收縮功能異常,經會診心臟血管外科醫師進行評估,由於繞道手術風險高,在心臟內外科醫師與病人家屬共同討論後,決定施行經皮冠狀動脈介入手術治療。惟考量心臟衰竭,左主幹合併多條冠狀動脈嚴重狹窄,介入手術風險極高,高醫岡山心臟血管內科郭炫孚主任帶領團隊在術前裝置「微型心室輔助器(Impella)」,避免於困難手術中、甚至術中心臟停止時仍可以維持患者的心臟功能與血壓。傅先生在醫療團隊合作之下,順利完成手術,打通血管與慢性全阻塞,於手術當天即移除Impella。傅先生在手術之後經過休養,心臟功能恢復良好。
什麼是Impella?
Impella是一種小型的心室輔助裝置,通常通過股動脈插入並進入左心室,能夠將血液從左心室泵送到升主動脈,維持血液循環。其工作原理是提供一個臨時的血液循環輔助,於重度心臟衰竭或心臟疾病的患者,因心臟功能低下而無法有效地維持正常的血液循環下,可以減輕心臟的負擔,讓醫生能夠安全地進行心導管手術。
Impella和大家耳熟能詳的緊急救命神器,新聞報導中常看到的葉先生-葉克膜(Extracorporeal Membrane
Oxygenation,
ECMO)同樣具備短期心臟支持功能,但原理和應用上卻有些許不同。葉克膜是一種常見的心臟與肺臟支持裝置,能夠在重度心臟衰竭或肺部功能衰竭的情況下提供全身循環支持,主要用於緊急急救或是需要全面心肺支持的情況,尤其適用於心臟停止跳動或多重器官衰竭的患者。Impella則是專門為左心室循環提供支持的裝置,適用於心臟功能不全但仍有部分心臟功能的患者,特別是在高風險心導管手術中,能夠為心臟提供臨時的循環支持。與葉克膜相比,Impella的管道較小,操作相對簡單,且因其順向血流的原理,相較於葉克膜對於本身心臟的功能幫助大及對血流的影響較小。

Impella支持下進行高危心導管手術
綜觀總結Impella其應用與優點
1.提高心導管手術成功率與減輕心臟負擔:Impella可以有效穩定心臟功能,尤其對於左心室功能不足或低心輸出量的患者,提供強大的心臟支援,幫助減少心臟的負擔,降低手術過程中的風險。
2.小型化設計與順向血流原理:與傳統的心臟輔助裝置(如葉克膜)相比,Impella的微型化設計能夠減少併發症,並且由其順向血流原理,使用過程中對患者的生理負擔較小。
3.適用範圍廣泛:Impella不僅能夠在急性心臟衰竭患者中提供支持,還能為需要進行複雜心臟手術(如冠狀動脈介入手術、心臟支架置入等)的患者,提供穩定的血流與心臟支持。
挑戰與未來
儘管Impella的應用顯示出顯著的療效,但也面臨著一些挑戰。例如,裝置本身的成本較高(在台灣目前仍須自費),且需要經驗豐富的醫療團隊進行操作。此外,雖然它為手術提供了有力的支持,但仍然需要搭配專業的後續加護病房及病房照護,以確保患者能夠在手術後順利康復。
※本文章同意非營利行為之轉載,轉載時不得編輯、調整、增刪、加註、改寫或以其他方式變更本文章內容,並註明供稿來源。
﹝※ 郭炫孚 醫師門診/時段僅供參考,若有異動請依診間公告為主﹞
|